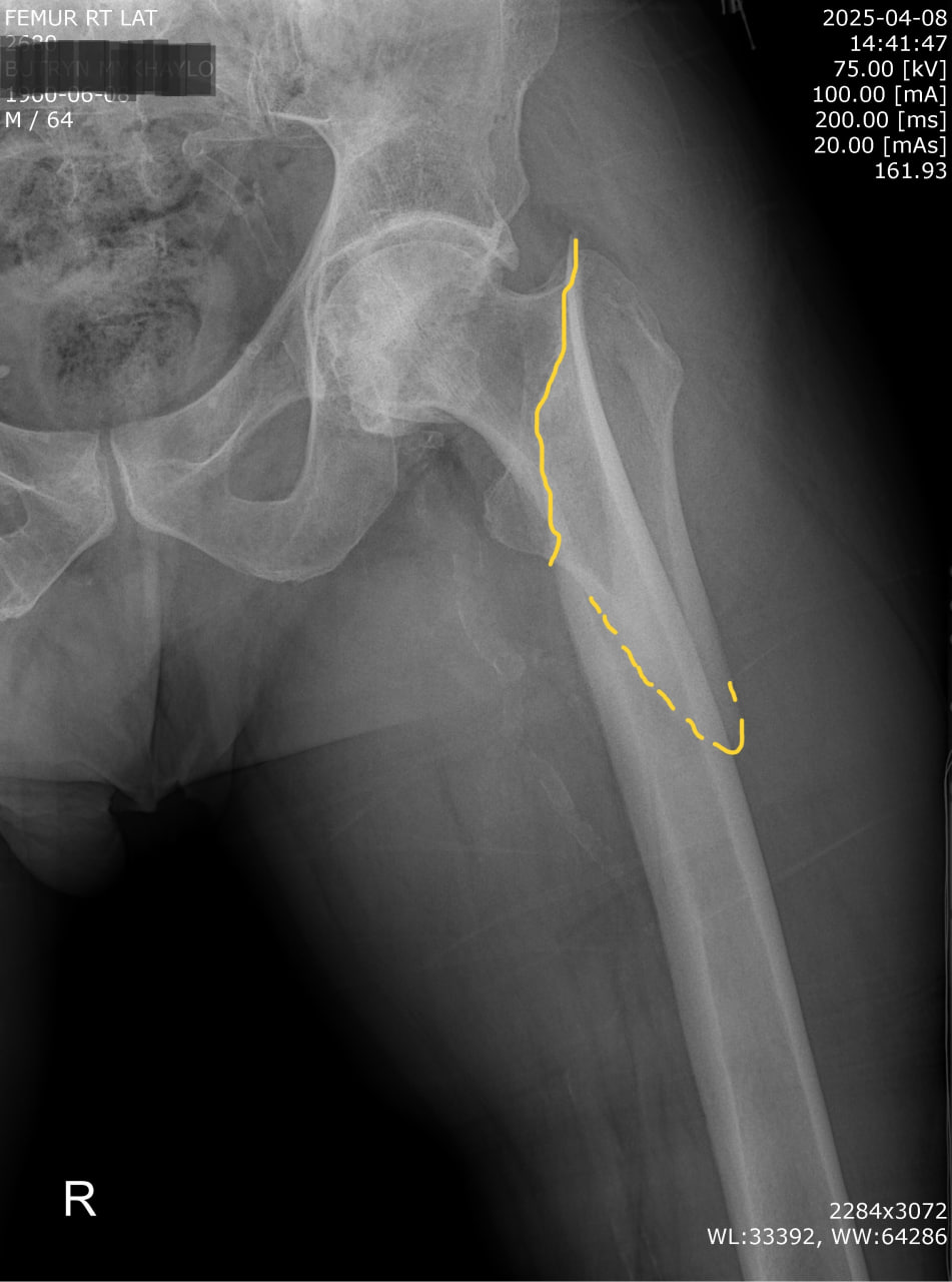
Пацієнт Б., 64 роки. Побутова травма — падіння з висоти власного зросту. Звернувся до травмпункту приймального відділення КНП ТМР «Теребовлянська міська лікарня». Після обстеження встановлено діагноз: закритий підвертельний перелом правої стегнової кістки зі зміщенням уламків.
???? Лікування
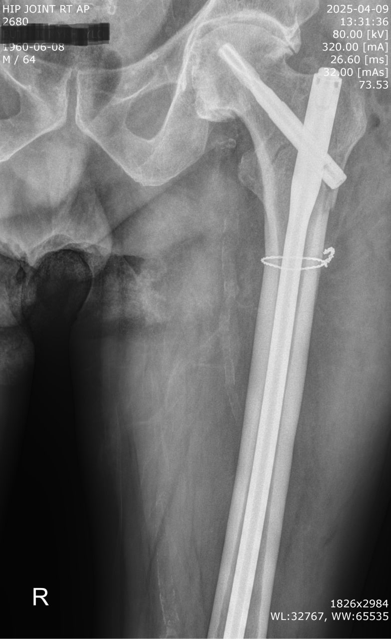
Пацієнта госпіталізовано до хірургічно-травматологічного відділення. Відповідно до міжнародних протоколів, оперативне втручання проведено протягом перших 24 годин після травми.
Обсяг операції включав:
– анатомічну репозицію уламків,
– серкляжну фіксацію,
– інтрамедулярну фіксацію стрижнем PFN-A Long (Proximal Femoral Nail Antirotation) — «золотий стандарт» лікування підвертельних переломів.
???? Післяопераційний перебіг
Вже наступного дня після операції пацієнт почав самостійно пересуватись з милицями, із повним навантаженням на оперовану кінцівку. Такий підхід дозволив зберегти опорну функцію, значно знизити ризики тромбозів, пневмоній та інших ускладнень.
Пацієнта виписано у задовільному стані з рекомендаціями щодо подальшого амбулаторного нагляду та реабілітації.
???? Висновок
Цей клінічний випадок демонструє ефективність сучасного підходу до лікування переломів стегна: своєчасна операція, надійна фіксація та рання мобілізація є ключовими чинниками швидкого відновлення та збереження якості життя пацієнтів.

